WHAT IS SCOLIOSIS?



Scoliosis is a medical condition in which the spine is curved to one side.  


 Instead of growing straight, 

the spine develops a side-to-side curvature, 

usually in an elongated "S" or "C" shape;

the bones of the spine are also slightly twisted or rotated. 

WHAT CAUSES SCOLIOSIS ?

The cause is unknown

80-90% of scoliosis cases occur in healthy adolescents, and this is called Adolescent Idiopathic Scoliosis (AIS).


Scoliosis is NOT caused by:

- Poor dietary intake

- Carrying heavy things, for example, heavy school bag on one shoulder

- Any particular physical activity

- Poor standing or sleeping posture

WHY TIMELY AND EARLY DETCTION IS IMPORTANT ?

It can occur in a child during early adolescence, age 10-12 years for girls and age 12-14 years for boys.   

It may worsen during the period of rapid growth that occurs just before puberty. 

Once this growth spurt has stopped, the curve usually becomes stable. 

Very small curves are common and are of no significance. 

However, approx. 2% of students require medical observation when they mature as a small handful of students will require further treatment. 

The earlier treatment is instituted, the better the outcomes are in the long run.

HOW CAN YOU DETECT SCOLIOSIS?

1.  ADAM's FORWARD BEND TEST 


Adam’s forward bend test can be used to diagnose scoliosis.

The child needs to stand with both feet together and parallel. 

Then, he/she needs to bend forward as far as possible, keeping the knees straight, palms facing each other and pointing towards the two big toes.

When bending forward, a rib "hump" may appear. In scoliosis, one side of the upper chest (thoracic) region or the lower back (lumbar) region will be more than 1cm higher than the other.


If the difference between the two sides is less than 1cm, it is unlikely a significant curvature is present. The difference is simply due to the asymmetrical growth of the body.

2.  TEST IN STANDING

  

You may notice one or more of the following outward signs of scoliosis in your child when he/she is standing:


Other outward signs of scoliosis include:


  • Body does not appear symmetrical
  • One side of the chest or breast may appear more prominent than the other
  • Clothes do not fit properly
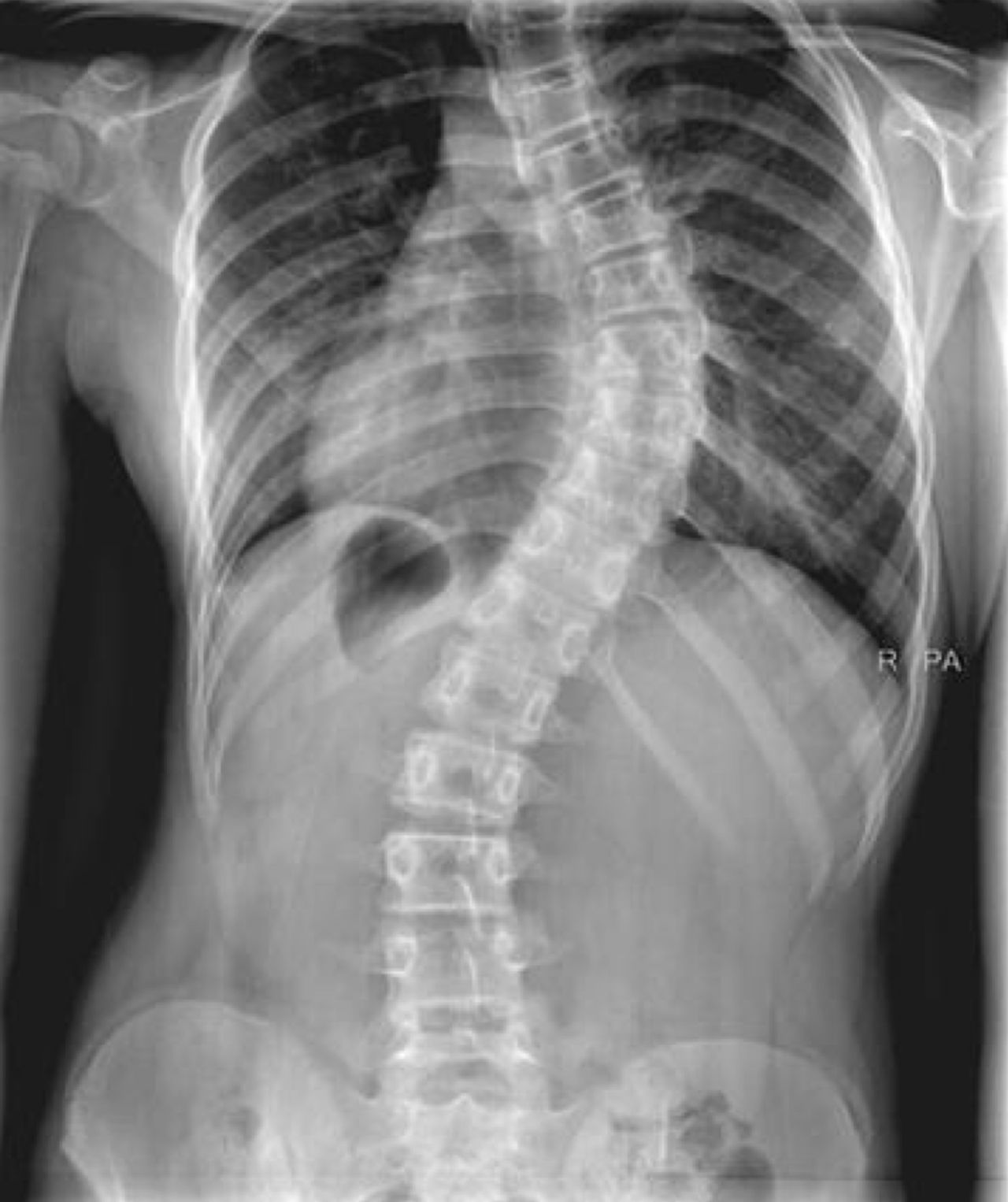
WHAT FUTURE TEST ARE DONE ?

An X-ray of the spine can help doctors to confirm the diagnosis of scoliosis, measure the degree of the spinal curve and ascertain the maturity of the child's skeleton. 


The degree of the spinal curve will determine the severity of scoliosis: mild, moderate or severe scoliosis. Mild curves less than 10 degrees are not considered as scoliosis and deemed to be insignificant.

HOW IS SCOLIOSIS TREATED ?

The management of scoliosis will depend on the child's age, maturity of bones, severity of curve and how fast the curve is progressing. Scoliosis management include one or a combination of the following:

On top of physical health, mental healthcare counseling can be also an effective coping strategy.   

While the diagnosis of scoliosis is concerning, bracing often compounds patients’ stress, and patients have expressed wanting to discuss their feelings with their healthcare providers.